Znajdź lekarza
System Pits21PRO
Rezultaty
Higiena
Blog
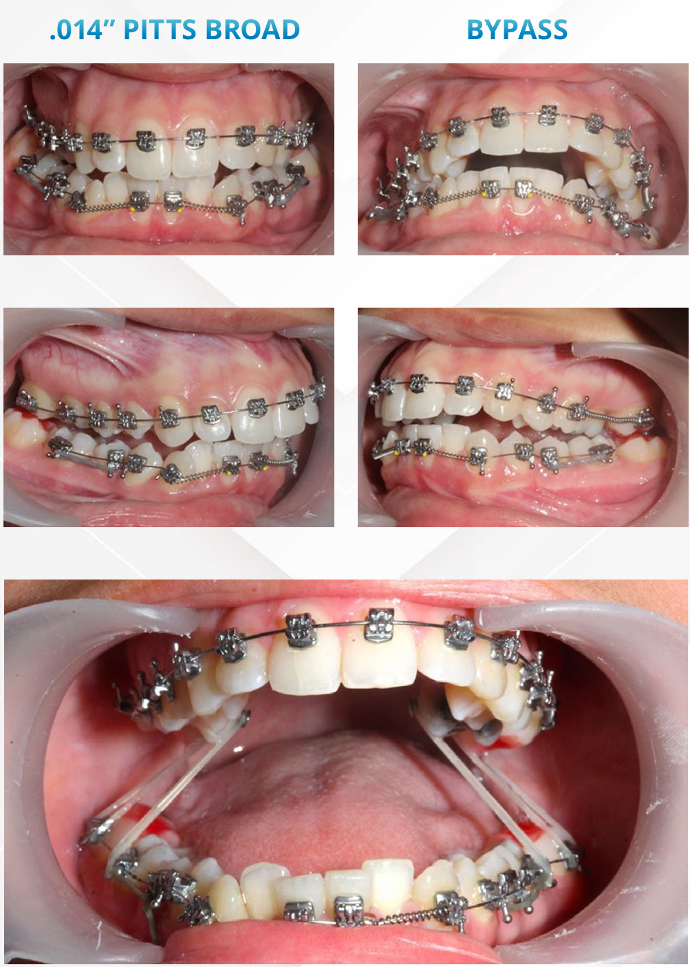
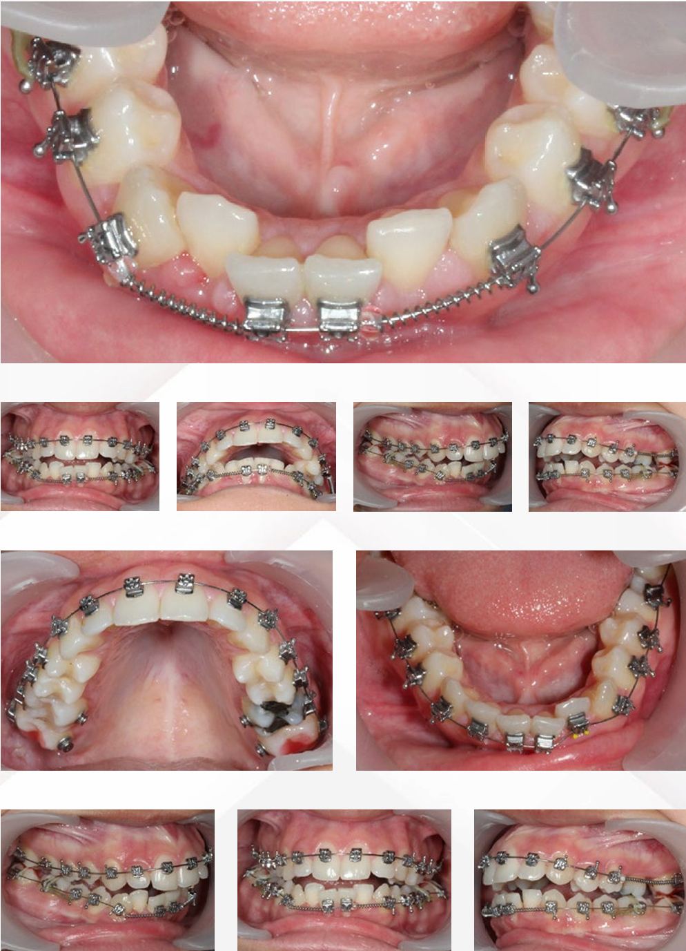
Pacjent 5, Dr Pitts Protocol