Znajdź lekarza
System Pits21PRO
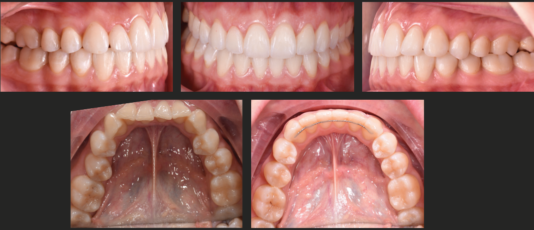
Rezultaty
Higiena
Blog
Pacjent 7, Dr Pitts Protocol, 11 miesięcy progres